Skip Menu
Continue
Existing Patients: (413) 586-0320
New Patients: (413) 274-4378
41 Main Street, Florence, MA 01062
Logo
  • Home
  • About Us
    • Our Office
    • Tour Our Office
    • New Patients
    • No Show/Late Arrival Policy
    • Patient Login
    • Dental Videos
    • Testimonials
  • Meet Our Staff
    • Benjamin Falk, DDS
    • Mark Stevens, DDS
    • Teddi Olszewski, DMD
    • Our Team
  • Services
      • CEREC® Crowns
      • Cosmetic Restorations
      • Dentures
      • Implant Dentistry
      • Invisalign®
      • Oral Exams
      • Periodontal Treatment
      • Preventive Program
      • Root Canals
      • Technology
      • Teeth Whitening
    • View All
  • Dental Health
  • Privacy
    • HIPAA Compliance
    • Privacy Policy
  • Contact
    • Contact Us
    • Request Appointment

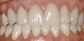
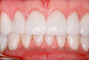
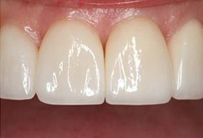
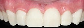
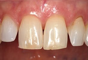
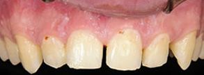
Smile Gallery

41 Main Street,
Florence, MA 01062

Existing Patients: (413) 586-0320

New Patients: (413) 274-4378